
Naik taraf senyuman korang tanpa rasa sakit! Dengan Gigiwoo korang boleh luruskan gigi dengan yakin.
Diperakui dan Disahkan oleh


Diperakui dan Disahkan oleh
Gigiwoo ialah rawatan aligner lutsinar yang membantu meluruskan gigi tanpa besi ataupun wayar. Tak sakit, tak leceh dan tak ganggu gaya hidup korang.
Rawatan ini hampir tiada rasa sakit. Korang mungkin mengalami sedikit rasa tidak selesa pada awal rawatan. Keadaan ini biasanya hilang dalam beberapa hari.
Aligner direka untuk mudah ditanggalkan tanpa menjejaskan rawatan.
Aligner Gigiwoo tidak memerlukan penjagaan rumit. Hanya berus lembut dan guna tablet pembersih yang disediakan.
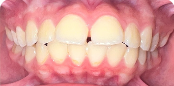
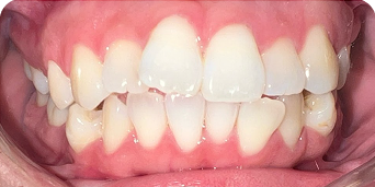
Sebelum

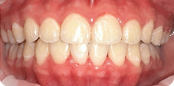
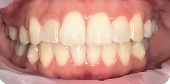
Selepas

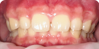
Sebelum

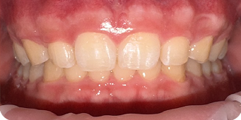
Selepas

Sebelum

Selepas

Tak Sakit
Senang Pakai
Harga Berbaloi
Lihat bagaimana Gigiwoo mengubah keyakinan mereka.
Perjalanan ke arah senyuman menawan bermula dari sini. Jom buat penilaian senyuman PERCUMA sekarang!